南方医科大学南方医院黄牛代挂号电话票贩子号贩子网上预约挂号,住院检查加快,你知道“世界防治结核病日”吗?
黄牛号贩子跑腿代挂号(18910288832)微信需要挂号联系客服(18910288832)各大医院服务项目!专家挂号,办理住院加快.检查加快,产科建档,指名医生挂号北京,上海,南京,天津.广州,各大医院代挂号
为推进卫生健康事业从“以治病为中心”向“以人民健康为中心”转变,黄浦区加强区级健康科普专家库建设,建立了由29个学科的专家组成的强大科普团队,以“科普引领,医路向前”系列栏目为平台,将专业的医学知识转化为通俗易懂的科普内容,让老百姓听得懂、学得会、记得住。

每年的3月24日是世界防治结核病日,今年是第28个世界防治结核病日,主题是:“你我共同努力终结结核流行”。该主题旨在深入贯彻党的二十大精神,践行“人民至上、生命至上”的理念,呼吁社会各界广泛参与,共同终结结核病的流行,捍卫人民群众的身体健康。

今天,与上海交通大学医学院附属瑞金医院卢湾分院呼吸内科副主任医师赵春柳一起来聊聊,关于结核病的那些事儿。
什么是结核病?
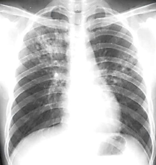
结核病俗称“痨病”,是由结核分枝杆菌感染引起的一种传染性疾病,几乎人体所有组织、器官均可发生,其中肺结核最为常见。

20世纪80年代,结核病疫情在全球范围内出现明显回升,经各国政府大力加强结核病的防控工作,当前结核病疫情虽出现缓慢下降趋势,但由于耐多药结核菌感染的增加、人类免疫缺陷病毒(艾滋病)和结核分枝杆菌双重感染以及流动人口中结核病的控制困难等,现阶段肺结核仍然是是全球关注的公共卫生问题,也是我国重点防控的主要传染病之一。

肺结核的症状有哪些?
肺结核常见症状包括反复咳嗽、咳痰超过2周,反复咯血,可出现胸痛、午后或夜间发热、盗汗、疲乏、食欲不振、消瘦等,女性患者可伴有月经失调或闭经。

由于不是所有感染者均出现症状,有些人会在偶然的胸片或胸部CT检查时发现可疑肺结核病灶。这时需要进一步完善检查来明确这些病灶是否由结核杆菌感染引起,如痰涂片后显微镜下找结核杆菌、痰结核菌培养、痰结核杆菌核酸检测、组织活检病理学检查、支气管镜检查,以及结核菌素试验、γ-干扰素释放试验等免疫学检查,但免疫学检查只能告诉你是否感染过结核杆菌,而不能明确目前是否处于结核活动期。还有些患者是因发现胸水就诊的,胸水的化验和检查有助于结核性胸膜炎的诊断。
肺结核都具有传染性吗?
能不能自愈?
不是所有感染结核杆菌的人都有传染性,部分潜伏感染者的机体能自动清除病菌,如果抵抗力足够强大,可以终身不发病,结核杆菌在人体内处于一种休眠状态,没有传染性。即使发病者也不是都有传染性,肺结核在人群中的传染源主要是痰结核菌阳性的结核病病人。飞沫传播是肺结核的主要传染途径,主要通过咳嗽、喷嚏、大笑、高声谈话等方式把含有结核分枝杆菌的微滴排出至空气中而传播。

需要挂号联系客服 黄牛号贩子跑腿代挂号北京上海南京天津18910288832
